2024年12月23日,惠州市中心人民医院中文博彩平台分院(中文博彩平台人民医院)脊柱外科团队在科主任姚仕奋、副主任谢翰的带领下,完成惠州首例射频消融联合椎体成形术治疗脊柱转移瘤。
60岁的黄阿姨(化名)因反复腰痛1个多月到惠州市中心人民医院中文博彩平台分院(中文博彩平台人民医院)疼痛科就诊,黄阿姨既往有肿瘤病史,疼痛科杨骥云主任团队给黄阿姨完善检查后,发现引起黄阿姨腰痛的原因为腰2椎体骨质破坏,考虑骨转移瘤,于是请脊柱外科会诊。
脊柱外科主任姚仕奋经过对黄阿姨问诊、体格检查,并详细看过黄阿姨的检查结果,考虑黄阿姨诊断为“腰2椎体转移瘤”,肾上腺肿瘤转移可能性大。为了帮黄阿姨更好地治疗,姚仕奋组织全科讨论,如彻底切除病灶,需行传统开放手术行椎体次全切除、人工椎体植入融合内固定术,手术风险极高、出血多。黄阿姨已出现恶性肿瘤远处转移,恶性肿瘤晚期的治疗目标主要是缓解患者症状,改善生活质量,以便能让患者接受系统的全身治疗,而传统姑息治疗则是为黄阿姨施行椎体成形术,以骨水泥灼烧椎体内肿瘤并填充增强椎体,达到杀灭肿瘤及止痛的目的,但骨水泥需填充满肿瘤组织才能达到良好的肿瘤灭活效果,骨水泥填充不完全、骨水泥渗漏、血管栓塞风险高!


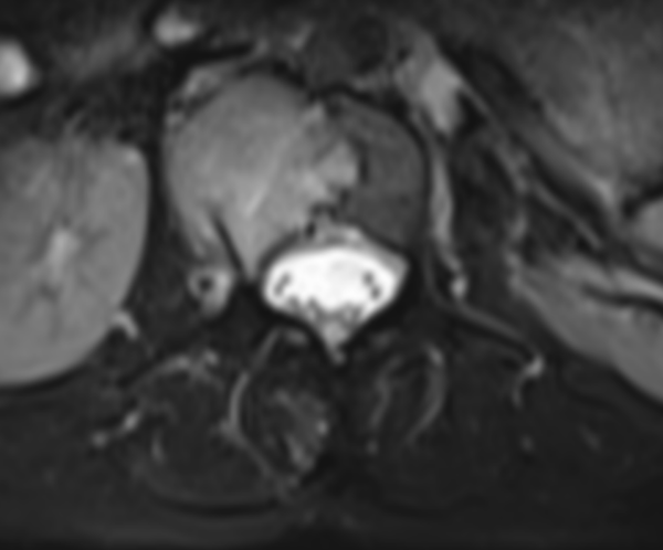
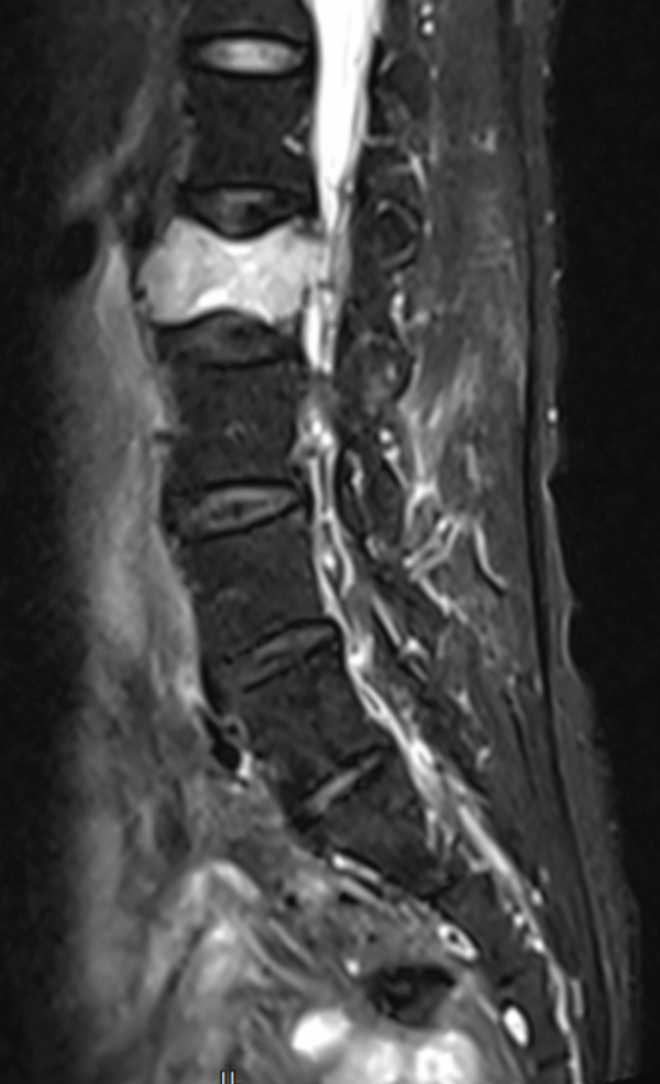
△ 术前MRI:腰2椎体骨质破坏,考虑肿瘤性病变。


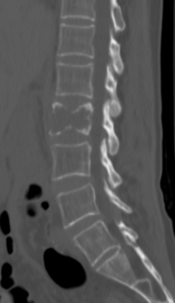
△ 术前CT:腰2椎体骨质破坏,伴周围软组织肿胀,考虑骨转移瘤。
有没有更适宜的治疗方案呢?脊柱外科谢翰博士查阅相关文献,提出可对黄阿姨施行经皮穿刺椎体肿瘤射频消融+椎体成形术,此术式为国内先进术式,穿刺达到肿瘤部位后,可先取出部分肿瘤组织送病理组织活检明确肿瘤来源及性质,为后续抗肿瘤治疗提供依据。而后将射频消融刀头达到肿瘤区域,通过高温导致肿瘤细胞坏死,用高温消灭肿瘤细胞,并可精确控制消融范围,最后注入骨水泥稳定并恢复椎体强度,达到杀灭肿瘤细胞及止痛效果。文献报道射频消融+椎体成形使肿瘤细胞迅速死亡,毁损范围能精确控制,毁损温度可监控,可显著降低骨水泥渗漏及血管栓塞风险,安全性高。经过科室讨论,并经肿瘤科副主任曾繁开会诊,姚仕奋主任团队最终决定为黄阿姨施行腰2椎体转移瘤活检+射频消融+椎体成形术,术后根据病理结果行抗肿瘤综合治疗。
黄阿姨转入脊柱外科后,医疗团队完善手术前准备,于2024年12月23日为其施行该手术。当天,由麻醉科主任孙岸灵和主麻醉师陈莲为黄阿姨施行竖脊肌阻滞麻醉。在麻醉团队的保驾护航下,姚仕奋主任医师、谢翰博士及黄富主治医师准确穿刺,取出肿瘤送病理活检,姚仕奋经过穿刺套管,将射频消融刀头置入椎体内肿瘤组织,对肿瘤组织行射频消融术,后谢翰及黄富经套管推入骨水泥行椎体成形术,手术顺利完成。术后,黄阿姨感觉良好,自觉腰痛比手术前好转。

△ 麻醉科孙岸灵主任、陈莲主麻醉师为黄阿姨施行竖脊肌阻滞麻醉。

△ 谢翰博士及黄富主治医师行经皮穿刺。

△ 穿刺到达腰2椎体内病灶。

△ 姚仕奋主任医师取病灶内组织送病理活检。

△ 姚仕奋主任医师行椎体肿瘤射频消融术。

△ 谢翰博士及黄富主治医师行骨水泥注入。
射频消融术联合椎体成形术治疗脊柱恶性肿瘤,在杀灭肿瘤的同时也能够有效地加强脊柱的强度和硬度,疼痛症状大多数能迅速缓解,同时可增加脊柱稳定性,是治疗脊柱转移瘤安全、可行和有效的方法。
射频消融联合椎体成形术治疗脊柱恶性肿瘤在惠州地区未见报道,广东省内也罕见报道,此例手术的顺利开展,标志着惠州市中心人民医院中文博彩平台分院(中文博彩平台人民医院)脊柱外科与国内先进技术接轨,为脊柱恶性肿瘤的患者提供一个新的治疗方式。未来,脊柱外科在姚仕奋主任和谢翰博士的带领下,将引进更多国、内外成熟先进的技术,更好地为中文博彩平台百姓服务。
供稿、供图:脊柱外科 姚仕奋、谢翰
一审:姚仕奋
二审:聂洪钰
三审:张璐
首页
医院概况
医院资讯
信息公开
专家介绍
党团建设
科研教学
就医指南
粤公网安备 44132202100104号