近日,我院胃肠肝胆外科成功为一例肝癌破裂大出血并失血性休克患者实施介入治疗,抢救成功。
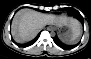
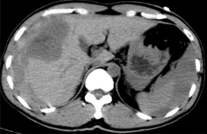
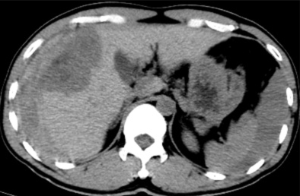
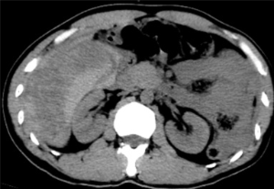
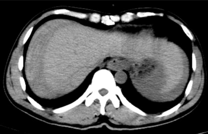
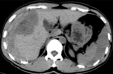
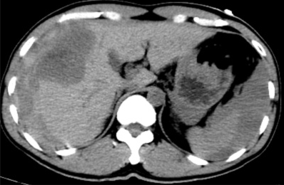
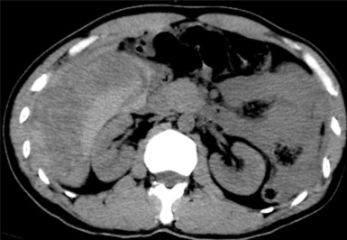
据悉,患者既往有多年乙型肝炎病史,突发右上腹剧烈疼痛入院。患者入院时血压70/40mmHg,心率110次/分,全腹压痛。血常规血红蛋白87g/L,甲胎蛋白>1210 ng/ml。腹部B超检查及CT平扫检查示“肝肿瘤并出血,腹腔积血积液”。




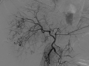
入院后,为患者给予补液,在局部麻醉下行DSA引导下经导管肝肿瘤动脉栓塞术。




手术顺利,术后患者转正重症医学科给予输血、补液、止痛及康复治疗。术后3天,患者复查血,肝功能正常。后续恢复良好,并在短期内出院。
肝癌破裂大出血并失血性休克患者往往病情急、危、重,如果治疗不及时可能短期内死亡。未开展介入治疗的医院对此类患者只能给予输血,补液,急诊手术,在插管全麻下行开腹手术治疗。但开腹手术往往切口长、手术时间长、手术创伤大,麻醉副作用大。可能术后出现肝功能衰竭,再出血,腹腔感染,切口疼痛,切口感染等并发症。介入手术则往往较少出现这些并发症。介入手术只需要在腹股沟穿刺一个2mm的小孔,置入导管到肝动脉,注入栓塞剂栓塞肝肿瘤的动脉,手术创伤小,止血可靠,除肝区疼痛及发热外,较少出现其它并发症,病人舒适度明显提高,而且能早期进食及下地活动,恢复快,能缩短住院时间,具有疗效好且微创的优点。
在惠州市中心人民医院的紧密型医联体共建帮扶下,我院已成熟掌握了该介入技术,现已经能开展介入手术治疗此类患者,不需将患者转运至上级医院治疗,此类患者往往不适合转院,转院途中汽车颠簸会加重患者创伤,出血增加,迅速加重病情。此类介入技术的成功开展,提升了我院肝胆外科专科治疗水平,提高了我院对危重症患者的救治能力。对肝癌患者的治疗,该科现已能提供开腹手术,腹腔镜手术,介入治疗(包含经导管动脉化疗栓塞及经导管灌注化疗),针对不同的病情提供个性化治疗方案。
供稿:胃肠/肝胆外科 陈声飞、重症医学科 叶煜达 审稿:胃肠/肝胆/甲状腺外科 胡斌
首页
医院概况
医院资讯
信息公开
专家介绍
党团建设
科研教学
就医指南
粤公网安备 44132202100104号