近日,我院胃肠/肝胆外科成功为一例十二指肠溃疡大出血并失血性休克高龄危重患者实施介入治疗,抢救成功。
患者93岁,既往有多年腹痛呕吐病史。此次因腹痛、呕吐、呕血、黑便1天来我院住院治疗。在消化内科行胃镜检查及止血治疗,治疗后稍好转,住院第4天患者再次大量呕血,再次给予胃镜检查示:十二指肠多发溃疡并出血。胃镜下止血困难,患者反复多次呕血伴解多次柏油样黑便,测血压70/40mmHg,心率118次/分,血常规血红蛋白72g/L……
随后,患者出现上消化道大出血并失血性休克,药物治疗及内镜治疗无效,有手术指征。但患者既往有老年性心脏瓣膜退行病变:主动脉瓣钙化并中度返流,重度二尖瓣返流,中度三尖瓣返流,轻度肺动脉高压。高敏肌钙蛋白T:80.46 pg/ml,B型利钠肽前体:18469 pg/ml。患者心肺功能差,麻醉耐受能力及手术耐受能力差。开腹手术风险高,预后差。我院胃肠/肝胆外科紧急给患者实施介入治疗:在局部麻醉下行DSA引导下经导管胃十二动脉栓塞术。
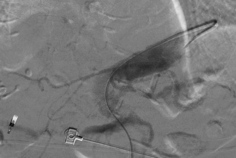
术中造影显示胸腹主动脉呈现2个S型弯曲,RH造影导管插入腹腔干非常困难,无法找到腹腔干。


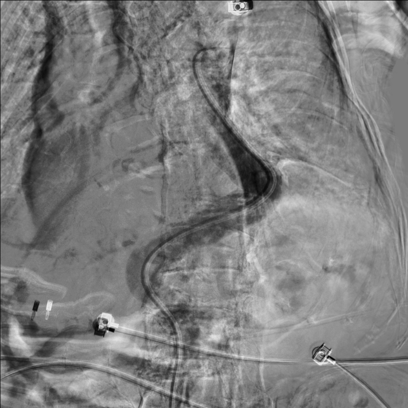
更换造影导管及反复尝试后,导管进入腹腔干动脉。


造影显示肝总动脉发出胃十二动脉及肝左右动脉。但胃十二指肠多处弯曲,微导管进入胃十二指肠动脉远端困难,更换成超细导丝后最后将微导管送入胃十二指肠动脉远端。


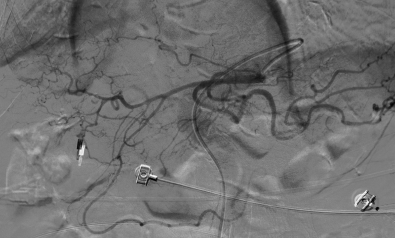
经微导管注入栓塞剂到胃十二指肠动脉全程,造影显示胃十二指肠动脉栓塞彻底,肝内动脉分支血运良好无副栓塞。


术后,患者送往重症医学科行监护、支持对症治疗。通过治疗,患者血压正常,无需使用升压药物,无呕血,黑便逐渐减少,血红蛋白稳定,血肝肾功能正常,恢复良好。
胃十二指肠溃疡大出血患者往往病情急、危、重,如果治疗不及时可能短期内死亡。未开展介入治疗的医院对此类患者只能给予输血,补液,急诊手术,在插管全麻下行开腹手术治疗。开腹手术往往切口长,麻醉副作用大,手术时间长,手术创伤大,术后可能再出血。可能术后出现肠瘘,腹腔感染,切口疼痛,切口感染等并发症。介入手术则往往较少出现这些并发症。
介入手术只需要在腹股沟穿刺一个2mm的小孔,置入导管到胃十二指肠动脉或胃左动脉或周围动脉分支,注入栓塞剂栓塞胃十二指肠溃疡周围的动脉达到止血的目的,手术创伤小,止血可靠,较少出现其它并发症,病人舒适度明显提高,而且恢复快,能早期进食及下地活动,能缩短住院时间。
在惠州市中心人民医院的紧密型医联体共建帮扶下,我院已成熟掌握了该介入技术,现已经能开展介入手术治疗此类患者,不需将患者转运至上级医院治疗,此类患者往往不适合转院,转院途中可能出血增加,迅速加重病情。此类介入技术的成功开展,提升了我院胃肠/肝胆外科专科治疗水平,提高了我院对危重症患者的救治能力,是医联体带动下三甲医院的技术在我院的沉淀。
供稿/供图:胃肠/肝胆/甲状腺外科 陈声飞,消化内科 王学群,重症医学科 姚润伟
审稿:胃肠/肝胆/甲状腺外科 胡斌
首页
医院概况
医院资讯
信息公开
专家介绍
党团建设
科研教学
就医指南
粤公网安备 44132202100104号