中文博彩平台

肿瘤微创“新利器”!我院成功开展首例CT引导下经皮微波消融治疗邻近横膈肝肿瘤_医院资讯_中文博彩平台

中文博彩平台

您现在所在的位置: 首页 > 县有关单位 > 县人民医院 > 医院资讯
分享到:
肿瘤微创“新利器”!我院成功开展首例CT引导下经皮微波消融治疗邻近横膈肝肿瘤
  • 2023-09-10 21:29:24
  • 来源: 本网
  • 发布机构: 县人民医院
  • 【字体:    

  随着肿瘤“精准微创”理念持续深入,微波消融术逐渐成为肿瘤新颖治疗手段之一。近日,我院肿瘤科成功开展了本院首例CT引导下经皮微波消融治疗邻近横膈肝肿瘤,该手术的实施表明了我院对肝癌的治疗实现了进一步微创化、个体化。对于很多不能耐受常规开胸、开腹手术,及不愿接受手术治疗的患者有着积极的意义。

  近日,68岁的杨大爷(化名)因“反复腹胀9年,再发1周”来我院就诊。在医生详细询问下,得知杨大爷既往有“乙肝、肝硬化”病史9年,收住感染科,入院后完善腹部增强CT显示:考虑肝S8肝癌;肝硬化、脾大、腹水、门脉高压,侧支循环形成;腹腔多发增大淋巴结;门静脉主干及分支栓子。请肿瘤科会诊,会诊考虑到杨大爷肝肿瘤临近横膈,大小约2.2cm,肝硬化失代偿期,Child-Pugh B级,手术风险大,综合病情,医生建议杨大爷行CT引导下经皮微波消融治疗肝肿瘤,在获得了患者及其家属的同意后,杨大爷转入到肿瘤科进行微波消融术。

  经过1个多小时的手术,肿瘤消融完全,周边组织损伤很小,手术过程十分顺利,杨大爷表示没有任何不适,耐受性良好。1个月后返院复诊,CT提示肝肿瘤完全灭活。

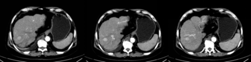
文章配图

  术前肝肿瘤情况,邻近横膈

文章配图

  肝肿瘤邻近横膈,穿刺难度大,术前徐稳深主任带领肿瘤科专业团队及放射科房志杰医生为患者进行精准定位,设定穿刺路线

文章配图

  CT引导下微波消融治疗过程

文章配图

  CT引导下微波消融治疗过程

文章配图

  微波消融术前

文章配图

  1个月后复查CT提示肝肿瘤完全消融

  关于微波消融术

  微波消融(microwave ablation, MWA)指在B超或CT引导下,把微波消融针直接穿刺到肿瘤部分,发射出来的微波能量在肿瘤内迅速升温,当温度升到50℃以上时肿瘤细胞的蛋白质变性凝固,导致其不可逆坏死。同时对其他组织的影响非常小。影像引导下经皮微波消融作为一种操作简便、微创、精准、效果好、不良反应小、安全可靠的热消融方法,已经被越来越多的应用于肝肿瘤的治疗。

  微波消融的特点

  1、微波消融热效率高,抗热沉效应较好,消融范围较大;

  2、不受各种组织电阻抗的影响,能较好预测消融形态;

  3、没有回路电极,不会引起烧灼;

  4、消融时痛觉较轻。

  微波消融治疗适应症有哪些?

  微波消融技术首先应用于肝癌的临床治疗,并取得了满意的效果,目前消融技术已相当成熟,适应证也逐步扩大。

  (1)呼吸系统:气管支气管内肿瘤,肺内良、恶性肿瘤。

  (2)消化系统:肝脏良、恶性肿瘤。

  (3)泌尿系统:前列腺肿瘤、肾脏肿瘤、肾上腺肿瘤。

  (4)骨骼系统:原发或转移的骨肿瘤。

  (5)神经系统:脊髓膜瘤、神经纤维瘤。

  (6)肌肉系统:肌纤维瘤、横纹肌肉瘤。

  (7)生殖系统:会阴部肿瘤、宫颈癌、卵巢癌。

  (8)其他:皮肤肿瘤、乳腺瘤实体瘤。  

  目前,我院肿瘤科已具备微波消融设备及专业人员,徐稳深主任带领专业团队已开展微波消融术多例,为肿瘤患者提供了更多的治疗选择,减轻疾病带来的痛苦,帮助患者早日获得康复!

  科室简介

  中文博彩平台人民医院肿瘤科,是广东省癌痛规范化治疗示范病房、广东省肺部肿瘤精准治疗专科联盟单位。现有医护人员30名,医生9名,其中高级职称5人(主任医师1人,副主任医师4人),主治医师4人,医学硕士3人,现开放床位62张,2020、2021、2022年总服务住院患者分别2592、3292、3628人次。

  肿瘤科始终遵循以规范化肿瘤治疗和个体化治疗为诊疗原则,对肿瘤患者实施全程管理。科室拥有先进的微波消融机、氩氦刀冷冻消融机及介入设备。擅长分子靶向治疗、免疫治疗、化疗、疼痛治疗等全身治疗。熟练开展微创介入治疗如经肝动脉灌注化疗HAIC、经肝动脉化疗栓塞TACE等、微波消融治疗、氩氦刀冷冻消融治疗、经皮肝穿刺胆道置管引流PTCD及胆道支架植入等多种治疗手段,给肿瘤患者带来更全面的综合治疗及最大化治疗效果,延长生存期。掌握各种实体瘤穿刺活检术,如肺穿刺、肝穿刺、乳腺穿刺、肾穿刺、前列腺穿刺、骨穿刺、淋巴结活检等。此外,还开展血液系统常见疾病如急慢性白血病、淋巴瘤、多发性骨髓瘤、骨髓增生异常综合征、骨髓增殖性肿瘤等诊治。

  同时,科室重视多学科综合治疗,多科协作,严格遵守中国临床肿瘤学会CSCO公布的指南进行规范治疗,根据国内外肿瘤治疗的最新研究进展和诊治规范,结合病人的个体特点,为病人“量身订做”最佳的个体治疗方案。曾获医院“引进和推广新技术新项目先进集体”奖。科室医护人员本着以“一切为了病人”的原则,在坚持诊疗水平与国内外先进水平同步的基础上,竭诚为肿瘤患者提供优质规范的医疗服务和全面人性化的关怀照顾。


  供稿、供图:肿瘤科 黄倩文

相关附件:
扫一扫在手机打开当前页
【此页面已归档】 【TOP】打印页面】 【 关闭页面