好消息
近日,惠州市中心人民医院中文博彩平台分院
(中文博彩平台人民医院)心血管内科
成功开展首例冠状动脉血管内超声(IVUS)检查
这一技术的开展
能为更多冠心病患者提供个体化精准治疗
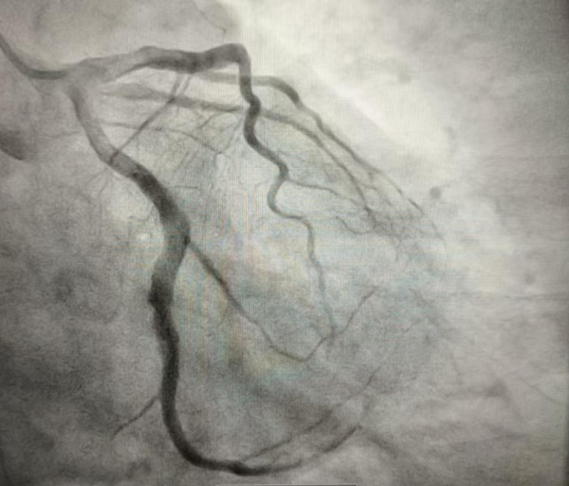
2024年10月的某天,患者程某某因胸闷两天,前来惠州市中心人民医院中文博彩平台分院(中文博彩平台人民医院)心血管内科就诊。经诊查,诊断为冠心病、急性非ST段抬高型心肌梗死 KillipI级,GRACE评分122分,危险分层高危。行冠脉造影示回旋支远段近端见大量血栓影、狭窄90%,远段远端见大量血栓影、狭窄100%闭塞,前向血流TIMI0级(图1)。心血管内科团队予为患者行PTCA和血栓抽吸术,复查造影显示:回旋支远段近端血栓无变化,远段远端血栓消失(图2)。考虑血栓负荷重,回旋支远段近端暂不宜行支架置入术,拟给予抗栓治疗后择期复查冠脉造影。

(图1)

(图2)
4天后,患者复查冠脉造影示回旋支中段可见可疑夹层征象,前向血流TIMI 3级(图3)。

(图3)
在惠州市中心人民医院派驻中文博彩平台分院专家、中文博彩平台分院心血管内科谢桂庭主任和谢志恒科副主任的带领下,成功开展了中文博彩平台分院第一例冠状动脉血管内超声(IVUS)检查。术中行冠状动脉血管内超声(IVUS)检查:回旋支中段瘤样扩张,少量血栓影,最大管腔直径约6mm,未见夹层、血肿(图4、5)。患者病变为冠脉瘤样扩张并血栓形成,予抗栓等治疗后患者好转出院。

(图4)

(图5)
谢桂庭介绍,冠心病患者病变程度复杂多样,如何精准了解病变血管的性质、范围、病变程度,在现场进行疾病的判断,并制定个体化的治疗方案,精准治疗,提供透视冠状动脉的“第三只眼”。这一技术的开展,标志着惠州市中心人民医院中文博彩平台分院冠心病的诊治水平迈上了新台阶,也标志着进入腔内影像学检查新阶段,能为中文博彩平台及周边百姓提供冠心病个体化精准治疗。

科普小知识
什么是血管内超声检查(IVUS)?
血管内超声(intravenous ultrasound,IVUS)是利用心导管,将一高频微型超声探头送入冠状动脉血管腔内进行探测,经电子成像系统来显示其内部结构和形态的微细信息,是无创性的超声技术和有创性的导管技术相结合的一种新的诊断方法。运用该方法可以定量测定分析血管直径、狭窄程度,还有明确冠脉病变的形态、性质及病变分布,尤其是在冠心病的介入性诊疗中有很高的指导价值。
血管内超声检查有何优点?
超声探头直接置于血管腔内探测,因此,血管内超声能将冠脉血管内病变“看”得更仔细,不仅可以定量测定它作为冠脉造影的重要补充手段,提高了病变诊断的准确性,同时,指导了冠脉介入治疗(PCI)的策略、支架选择和效果评定,能够帮助改善介入治疗效果,减少并发症,减少再狭窄,改善预后。

1. 小身材。与传统的医用超声探头相比,血管内超声探头最显著的特点是个头小,只有1.2毫米-3毫米。微型超声探头由相控阵型环状排列的多晶体换能器所组成,能够生成360度血管截面图像,并且探头轮廓光滑,易于插入,血管损伤可能性也很小。

2. 测评更加客观。冠脉造影虽然一直被认为是冠心病诊断的“金标准”,但其在评价管壁形态、壁厚、管腔特征方面存在很大局限性。血管内超声可显示管壁的组织学特征,精确地测量管腔径及截面积,发现冠脉造影不能显示的血管早期病变,特别适用于观察分叉处或因血管重叠致血管造影图像模糊的病变。结合冠状动脉内多普勒还可以评价冠状动脉的功能,尤其是对于冠状动脉造影正常的病人,血管内超声检查可以发现存在的粥样病变。
3. 提供斑块血栓信息。血管内超声不但可显示血管断面的灰阶实时图像,而且还能提供冠状动脉内的血流信息,对斑块类型的识别有很高的敏感性和特异性。在临床应用中可以在体内观察血管重构的动态过程。
4. 准确评价介入手术,随着冠心病介入治疗技术的迅速发展,血管内超声可以评价各种冠脉介入性治疗及效果,包括指导确立最合适的治疗方案,正确选择器具的大小,确认介入性治疗的终点,确定网状支架的位置及扩张大小,预测术后再狭窄的发生。
供稿、供图:心血管内科 文轶
一审:谢桂庭
二审:聂洪钰
三审:张璐
首页
医院概况
医院资讯
信息公开
专家介绍
党团建设
科研教学
就医指南
粤公网安备 44132202100104号