2024年10月29日,
患者王女士在我院接受了
右额颞顶部颅骨缺损修补术,
为她的头部摔伤治疗
画上了圆满的句号。
这究竟是怎么一回事呢?
且看下文↓↓
27岁的王女士患尿毒症,无尿4年余,因摔伤头部致右侧额颞顶部硬膜下出血,脑疝形成,于今年4月18日入住我院神经外科一区治疗。

尿毒症患者一旦出现颅内出血,致死、致残率军非常高。据相关文献报道:尿毒症患者由于某些毒性物质 (如尿素、胍类化合物、中分子物质和酚类化合物等的蓄积) 可致血小板功能障碍, 纤溶活性降低, 部分凝血因子改变,容易导致脑出血。其次,慢性贫血也是出血因素之一,贫血可减低血液粘稠度及影响血小板与血管壁接触而加重出血倾向。另外在血透过程中使用肝素抗凝疗法可加重出血的可能性。

△ 患者术前CT片。
王女士入院时右侧额颞顶部大量硬膜下血肿,值班医生贺新平副主任医师立即将该患者病情汇报黄小山主任医师,科室立即组织讨论,综合考虑该患者为年轻女性,近期透析过程中有使用肝素抗凝,为减少创伤,首先选择右侧额颞顶部硬膜下血肿软通道置管引流术。手术过程顺利,置管位置良好。

△ 置管引流术后CT。
因患者透析过程中有使用肝素抗凝,虽引流管位置良好,但因患者凝血功能异常,合并有新鲜出血,考虑病情危重同时需要血液透析治疗,急诊请肾内科、重症医学科会诊后,经综合讨论意见后转我院重症医学科监护治疗,并行床边CRRT治疗。
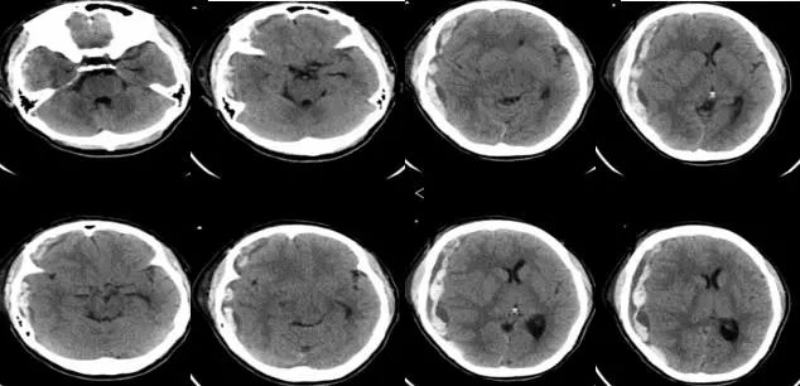
2024年4月20日11:30,王女士复查颅脑CT,提示右侧额颞顶部硬膜下出血较前增多,注意脑疝形成。随后患者出现意识下降呈昏迷状,双侧瞳孔等圆不等大,右侧直径约5.0mm,对光反射消失,左侧瞳孔直径约2.5mm,对光反射迟钝。神经外科廖小辉副主任医师受邀急会诊,并将该患者病情向罗洪海主任医师、黄小山主任医师汇报。
此时患者已脑疝形成,右侧瞳孔扩大,病情非常凶险,时间就是生命,因患者存在尿毒症,无尿,长期血液透析治疗,开颅手术及麻醉风险非常高,黄小山迅速组织我院麻醉科、重症医学科、肾内科等多学科讨论,决定急诊气管插管全麻下实施“右侧扩大翼点入路开颅硬膜下血肿清除术,去骨瓣减压术”,必要时麻醉同时进行CRRT治疗。手术由神经外科廖小辉副主任医师主刀,经过麻醉科医护人员的通力合作,2个小时后成功为王女士实施了开颅手术治疗。术后经神经外科二区及重症医学科医护人员的精心治疗,患者逐步康复,四肢活动自如,步行出院。

△ 术后CT。
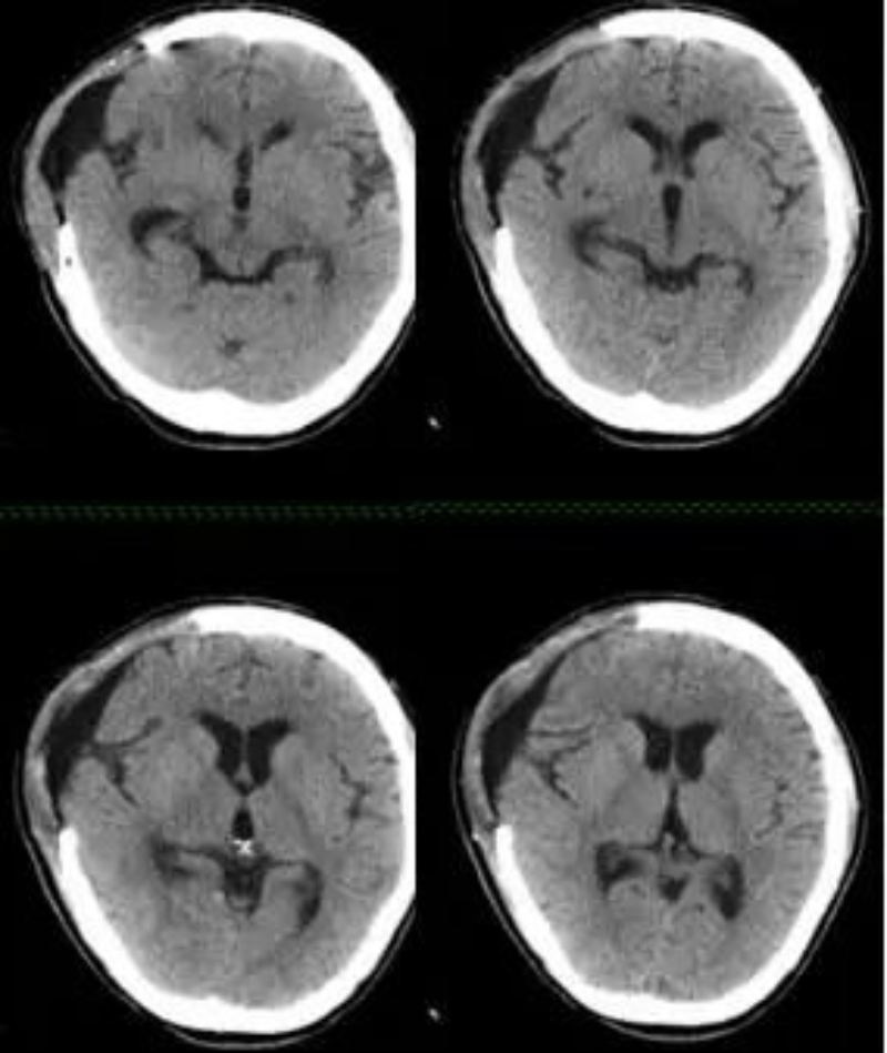
六个月后的10月20日,王女士步行来我院,住院并要求行“右额颞顶部颅骨缺损修补术”,黄小山主任再次组织麻醉科、肾内科、心血管内科进行术前讨论。10月29日,由黄小山主刀成功为王女士实施了右额颞顶部颅骨缺损修补术。至此,患者的治疗画上了圆满的句号。

△ 颅骨修补术后CT。
我院神经外科一区黄小山主任介绍:因尿毒症患者血小板功能障碍,纤溶活性降低,凝血因子改变导致凝血功能异常,且该患者肾功能基本丧失,无尿,术中容易出现不可控性大出血,多器官功能衰竭,麻醉风险极高,该患者的成功救治得力于我院多学科的通力合作及术后的精心照护。
我院脑外科中心(神经外科一区、神经外科二区)是惠州市临床重点专科、惠州市医学会神经外科分会副主任委员单位、惠州市中心人民医院神经外科医师联盟单位,也是目前惠州市规模较大、设备先进、综合实力较强的神经外科。目前我院神经外科已开展颅脑及椎管内肿瘤切除手术,包括目前神经外科难度较高的垂体瘤、神经胶质瘤、脑膜瘤、转移瘤等;显微镜下进行脑动脉瘤夹闭术,脑血管畸形切除术;烟雾病血管搭桥手术、颈内动脉内膜剥脱术;介入栓塞脑动脉瘤、血管畸形;神经内镜微创手术进行垂体瘤切除术、视神经管减压术、面神经管减压术、脑脊液鼻漏修补术等。显微镜下进行三叉神经痛、面肌痉挛微血管减压术;个体化治疗高血压脑出血,包括微创显微及神经内镜清除血肿、钻孔引流术;常规颅脑外伤的各种手术;脑室腹腔分流术;大面积脑梗塞的减压手术。

未来,我院神经外科将不断追求严谨和创新,努力完善各项专业技术和提高服务质量,为中文博彩平台人民的健康保驾护航!
供稿、供图:神经外科 廖小辉
一审:罗洪海
二审:聂洪钰
三审:张璐
首页
医院概况
医院资讯
信息公开
专家介绍
党团建设
科研教学
就医指南
粤公网安备 44132202100104号