一根脊柱,撑起一个人的一生。它不仅承载着我们的身体重量,更寄托着无数家庭的希望。我院脊柱外科,每一位医护人员都秉持医者初心,坚持为群众办实事,用专业与温度,为患者撑起健康的脊梁。
守住脊柱,健康前行
为满足群众日益增长的就医需求,在我院领导的大力支持下,2023年10月18日脊柱外科由原来的骨科专业细化后重新成立,脊柱外科是骨科的一个亚专业,专注于研究和治疗脊柱疾病。开科后,医院能够提供更加专业化和针对性的医疗服务,满足患者对于脊柱疾病的专业诊疗需求,在姚仕奋主任及龙婷护士长的带领和全科医护人员的共同努力下,脊柱外科运行至今已满一周年。
脊柱外科运行一年来,总出院患者771人次,总手术475台次,四级手术382台次,脊柱内镜手术70台次,交出了一份满意的答卷。

患者至上,多维度展现精湛医术
生死时速
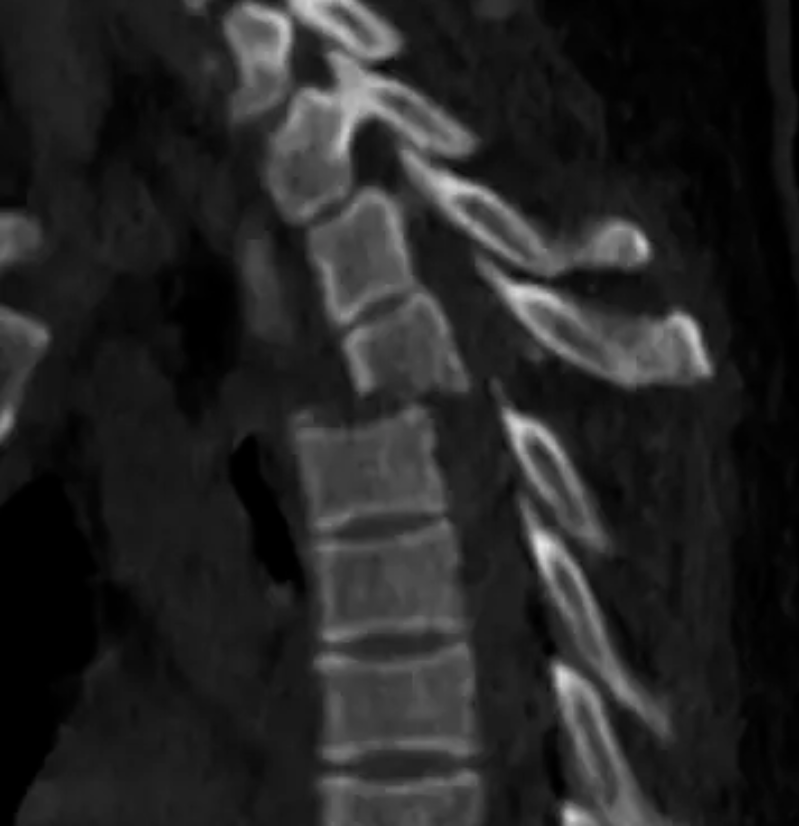
在今年4月份,42岁的韦女士因被电线杆压伤致全身多处外伤被送至我院就诊。经检查,患者双侧液气胸、双侧少量气胸、左侧胸腔少量积液(积血)、右侧胸腔中等量积液(积血)、双肺挫伤;胸4、12椎体爆裂性骨折伴骨性椎管狭窄,胸4椎体骨折分离、移位;颈7、胸1左侧横突、左侧第1-10、12肋及右侧第1-7肋骨折,颈7、胸1-4/12棘突、胸8/9左侧横突骨折;失血性休克;创伤性湿肺;失血性贫血;多器官功能损害;头皮撕脱伤;右小腿开放性骨折。因韦女士病情极其危重后收入我院重症医学科治疗。
经我院神经外科、胸外科、手足外科、骨创伤与关节外科、脊柱外科等多学科会诊,患者病情逐渐平稳。



△胸4椎体爆裂性骨折伴脱位。



胸12椎体爆裂性骨折,骨折碎块压迫椎管。
脊柱外科姚仕奋主任团队对该患者病情展开多次讨论,为其制定了详细的手术方案,推演手术中每个风险环节和应对预案,最终于4月19日,在麻醉科孙岸灵主任、陈莲主麻醉师的协助下,顺利开展手术。术后患者返回重症医学科监护治疗,经过医护人员精心护理,患者顺利出院。
精准制导
今年6月份,68岁的鲁婆婆(化名)因反复腰痛伴双下肢麻木5年,加重伴右下肢乏力1个月后,到我院康复医学科住院治疗,在药物治疗、康复理疗等治疗效果欠佳的情况下,来到脊柱外科会诊。姚仕奋主任医师仔细查看鲁婆婆的情况及其磁共振片子后发现,胸10、胸12、腰1椎体骨质疏松性压缩骨折,导致鲁婆婆胸腰背部疼痛明显,因胸椎黄韧带骨化并椎管狭窄致双下肢疼痛、麻木、乏力,右下肢肌力下降,双下肢肌张力增高,右下肢膝腱反射亢进,双侧巴氏征阳性,导致鲁婆婆无法行走。

△磁共振提示胸10、胸12、腰1椎体压缩性骨折,胸9/10、胸10/11黄韧带骨化、椎管严重狭窄。
经过脊柱外科团队的多次讨论,为鲁婆婆制定了个体化治疗方案。于今年7月5日,在麻醉科的监护下,脊柱外科姚仕奋主任团队成功为鲁婆婆开展手术,术后经过药物治疗及指导患者功能康复锻炼,鲁婆婆可自行行走,顺利出院。
微创之光
84岁高龄的田婆婆(化名)反复腰腿痛、双下肢麻木、间歇性跛行多年。近半月来病情不断加重,已严重影响生活。于今年的5月份,到我院脊柱外科就诊。经检查,诊断田婆婆腰椎椎管狭窄严重,压迫马尾神经导致马尾综合征,有明确手术指征,但田婆婆已84岁,合并有众多基础病,手术创伤大,风险高,而通过UBE技术进行减压同样可达到减压的目的,且手术创伤小,出血少。


术前MR可见腰3/4、腰4/5椎间盘突出,伴椎管狭窄严重、神经根受压、马尾神经冗余。
最终于今年的5月份,在脊柱外科做好充分术前准备,麻醉科评估风险后,为田婆婆顺利开展了手术,彻底减压受压的脊髓和马尾神经,术中出血少。术后在脊柱外科医护团队的护理下,田婆婆恢复良好,下肢麻木感和乏力明显好转,术后第二天田婆婆在胸腰支具保护下下地行走。


一个精准、一个微创、一个高难度,通过成功救治的这三个病例,充分展现了我院脊柱外科卓越的创伤救治能力。在确保手术效果的同时,注重技术创新和团队协作,为患者提供了精准、高效、安全的医疗服务。
护理团队实现宣教“一码通”
对于脊柱疾患患者,护理团队的力量同样重要,良好的护理对患者的治疗、功能锻炼、恢复有着巨大的帮助。脊柱外科开科一年以来,为更好地服务患者,落实健康宣教,让患者更多地了解疾病相关知识,在龙婷护士长的带领下,通过科室护理团队的共同努力,科室实现了宣教“一码通”,一个二维码包含所有宣教内容,每个患者床头一个二维码,只需床边手机扫码,便可通过视频或文字轻松了解包含疾病相关知识、术后康复功能锻炼、出入院注意事项、如何手机进行医保结算等相关内容。不断改进,逐步完善,且不断更新新知识,为患者健康保驾护航。

我院脊柱外科,始终坚持“以病人为中心”,突出微创治疗特色,致力于为脊柱疾病患者提供优质的微创医疗服务。未来,脊柱外科将继续努力,不仅做到常规手术规范化、微创化,而且追求高精准手术的精确化和安全化,旨在让中文博彩平台地区的脊柱疾患患者在“家门口”就能享受到高质量的医疗服务,真正将为群众办实事落到实处,不断提升患者的就医体验和满意度。
供稿:新媒体运营中心 叶毅艳,脊柱外科 谢翰、龙婷
供图:脊柱外科 谢翰、龙婷
一审:姚仕奋
二审:聂洪钰
三审:张璐
首页
医院概况
医院资讯
信息公开
专家介绍
党团建设
科研教学
就医指南
粤公网安备 44132202100104号