案例
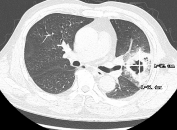
近日,中文博彩平台一位60岁的袁先生因发烧、胸痛、咳嗽且持续一周之久,到惠州市中心人民医院中文博彩平台分院(中文博彩平台人民医院)呼吸与危重症医学科门诊就诊,医生给患者开了一个CT检查,检查结果出来后,发现患者的肺部出现了一个6cm的病灶,因为患者持续发烧且温度不降,医生用药后效果不明显,于是给患者做了进一步的气管镜和病原体靶向测序的检查。
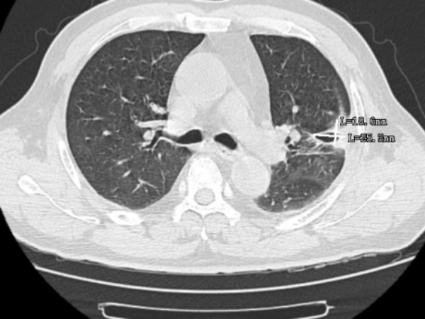
通过气管镜检查,发现患者的肺部中有许多脓痰,气管镜协助将脓痰吸引干净,并将脓痰送检病原体靶向测序,发现患者存在两种链球菌的感染,最终医生根据病原体靶向测序的结果进行针对性用药,患者便好转了很多,后续的CT检查中可以看到,6cm的病灶已缩小到2cm不到。

▲治疗前

▲治疗后
病原体靶向测序(tNGS)
呼吸治疗的新选择
tNGS中文名叫病原体靶向测序,是一种针对特定基因序列进行高通量测序的技术,使用该技术可以靶向检测上百种常见的致病病原体,包括细菌、病毒、真菌、结核、寄生虫等。临床应用于呼吸道感染性疾病的病因不明,经验性治疗无效,病情疑难或危重等情况,简单说就是非常适合“急”、“危”、“疑难”的患者,不仅提供精准的信息给医生,还能够做出精准的诊断和治疗。
病原体靶向测序可以诊断的更清楚,如身体被特殊的细菌感染了,医生无法通过普通的细菌培养观察出来,但通过病原体靶向测序可以精准的测出肺部是被哪项细菌感染,医生可以针对细菌进行精准用药,加速病人的康复,减少病痛的折磨。
POCT即时出结果
检验提升速度

据呼吸与危重症医学科主任卢健聪表示,2024年惠州市中心人民医院中文博彩平台分院(中文博彩平台人民医院)呼吸与危重症医学科引进了一台新仪器——床边检验POCT,有了这台仪器后方便太多了,科室平时接诊很多那种呼吸衰竭重病人,在引进这台仪器之前,日常检验的血样、尿样需要运送到医学检验科进行检测,运送过程中消耗了很多时间,验血常规的时间最快也需要半小时才能出,而有了这台仪器后,验血就像血糖仪一样,可以五分钟出结果,这对于重症患者来说简直是福星,因为重症患者的身体情况瞬息万变,能够将检验结果以最快的速度出到医生手上,就可以快速判断患者的身体情况。


床边检验仪POCT可进行动脉血气分析(包括:动脉血酸碱度、动脉血二氧化碳分压、动脉血氧分压、碳酸氢根、乳酸等),快速诊断病人呼吸衰竭、酸碱中毒的类型,反映病人的呼吸功能及乳酸代谢功能等,对进行呼吸机治疗的患者特别有用。
肺功能检查
慢病患者不容忽视
肺功能对慢性气道疾病的筛查、诊断、指导用药、监测等非常重要,可以做到全程标准化管理,对整个慢性呼吸疾病防治中心的建设至关重要。惠州市中心人民医院中文博彩平台分院(中文博彩平台人民医院)呼吸与危重症医学科开展肺功能检查已有10余年,每年完成肺功能检测近 2000例。
科室的肺功能室拥有德国康讯超声肺功能仪1台、德国耶格肺功能仪 1台,瑞典NIOX呼出气一氧化氮检测系统1套:开展了肺通气功能、支气管激发试验、支气管舒张试验、自动激发试验、弥散功能、强迫振荡肺功能检查、残气容积测定、气道阻力测试、呼气一氧化氮测试等。

重视科研发展
培育专科人才

▲科室内每周组织学习讨论会
在呼吸与危重症医学科,团队积极开展各种临床及基础研究等科研工作。2023年,惠州市中心人民医院中文博彩平台分院(中文博彩平台人民医院)作为惠州市首家获得广东省第一批县级慢性呼吸疾病防治中心,这是对医院慢性呼吸疾病防治工作的高度认可,标志着惠州市中心人民医院中文博彩平台分院(中文博彩平台人民医院)慢性呼吸疾病防治技术迈向了新的台阶,朝着高质量发展,目前,科室已有2名医生在《中国社区医师》《当代临床医刊》《智慧健康》期刊上发表了学术论文。
为持续提升医师队伍整体素质与学术水平,科室实施并落实了各层级医师的培养计划。根据科室工作开展的需要,科室安排优秀的、学习积极性高的医生、护士积极参加各种培训班,科室内的多名医生、护士到省级医院进行培训和学习,并将学习回来的内容在每周的会议上与科室内的其他同事分享。
坚持初心
为呼吸患者带来更好的就医体验
惠州市中心人民医院中文博彩平台分院(中文博彩平台人民医院)呼吸与危重医学科全体医护人员在坚持初心的道路上不断努力,通过采用最先进的诊疗技术、引进便捷的检测设备,以及培养专业的医疗团队,致力于提供更精准、更高效的医疗服务。这一系列举措的目的,不仅是为了提升治疗效果,更是为了贯彻以人为本的服务理念,确保每一位患者都能在这里感受到尊重、关怀和希望。
未来,科室将持续秉承“技术精湛、服务温馨、竭诚为民”的服务宗旨,为呼吸疾病患者提供更精湛的医疗技术、更优质的护理服务。
供稿:新媒体运营中心 聂洪钰
供图:呼吸与危重症医学科 卢健聪
一审:卢健聪
二审:聂洪钰
三审:张璐
首页
医院概况
医院资讯
信息公开
专家介绍
党团建设
科研教学
就医指南
粤公网安备 44132202100104号