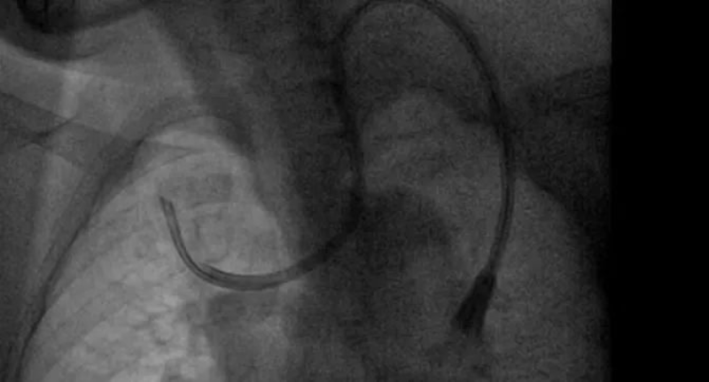
不久前,一位来自河源的患者到惠州市中心人民医院中文博彩平台分院(中文博彩平台人民医院)肾内科纠正导管位,这位日常是在当地的医院进行腹透导管,但总有不适感产生,听闻惠州市中心人民医院中文博彩平台分院(中文博彩平台人民医院)肾内科导管技术优秀,慕名场来求医。这位病人在当地医院进行血液透析,但导管流量不足,无法常见透析,到了惠州市中心人民医院中文博彩平台分院(中文博彩平台人民医院)就医以后,肾内科主任吴勇对他进行了全面的检查,发现该病人体内的导管已经像项链一般绕脖一圈,需要立马纠正。吴勇马上联系了惠州市中心人民医院的手足外科专家进行会诊,经讨论后对患者进行了球囊扩张术,并重新置入新的导管,术后患者透析顺利,返回当地后也能继续顺利透析。该病人对惠州市中心人民医院中文博彩平台分院(中文博彩平台人民医院)微创置管导管技术表示了高度的认可,并定期回院复诊。


惠州市中心人民医院中文博彩平台分院(中文博彩平台人民医院)肾内科2018年11月独立建科。医护团队团结向上、积极进取,医师队伍有主任医师2人、副主任医师2人、主治医师8人、医师2人。
肾内科下设三个病区:
普通病区共有床位59张,拥有AED除颤仪、心电图仪等国内外先进诊疗急救设备。
血液净化中心,共有床位36张,拥有先进的水处理系统及日本及德国先进的透析机器。
腹透门诊,由专业医护团队坐诊,为腹膜透析患者提供从医疗到护理的专业指导。快速便捷的诊疗流程,专业高效的腹膜透析操作治疗,贴心周到的医疗服务,可大大提升患者的就医体验。

推动优势特色专科纵深发展
肾内科从2018年分科建立以来,逐步发展壮大。在新一代学科带头人吴勇的带领下,学科克服了人才引留困难、临床科研基础薄弱、信息相对闭塞等难题,全科上下积极进取、砥砺前行,在诊疗技术水平、医疗服务能力、科研教学能力、人才培养及学科影响力等方面取得了重大突破。如前期需要在手术室剖腹进行的腹透置管手术,术后创口大,手术时间久等一系列缺陷,存在许多弊病,吴勇首先对其进行针对指导改良,微创化、轻量化,从经皮穿刺置管术转变到现在的改良型腹腔镜下腹透置管术,患者术后半日即可下床自行活动,不会有明显痛苦。科室还开展了上腔静脉狭窄球囊扩张术,解决血液透析长期导管带来的副作用。

“科研是学科发展的动力,瞄准科研攻关,才能不断推动优势特色专科朝纵深方向发展。”面对技术、人才、科研等难题,吴勇这样说到。
培养人才为学科建设提供有力支撑
在起步阶段,科室的病房床位和医护人员都明显短缺,医生不仅要完成繁重的临床工作,还要花大量的业余时间做研究,当时团队成员缺乏科研经验,在做了一些基础性研究后容易浅尝辄止。吴勇认为,团队要立足临床,注重临床实践,具备实力过硬的医师队伍,不能仅限于完成日常的疾病诊治工作,更应成为学术型医师团队,要在县域内具有学术影响力。“在医院做研究很难,需要付出的很多,必须要全体成员持之以恒的努力。肾内科发展到现在能够获得这么多奖项,既是对我们学科能力的肯定,也是对医院医疗技术的认可。”吴勇表示。

几年来,团队成员承受着数倍于常人的负荷开展临床与科研工作,经过时间的磨砺,发展思路逐渐成熟,研究方向趋于明朗,肾内科医疗团队已经在慢慢成为一个能将各种专科微创手术常规化的优秀专科医疗团队,针对肾病病人不同需求能第一时间做出应对处理。让本地肾病患者再也不用出县到省市看病,外地病人也开始相继慕名而来。
诊疗技术特色
1. 腹膜透析:腹膜透析为居家透析治疗,保护残存肾功能,患者生存质量高。设立了专门的腹透门诊,有独立腹膜透析操作及培训间,并建立了腹透患者随访档案,有专业的腹膜透析医师和责任护士系统地对患者进行宣教管理和治疗,开通了腹膜透析热线电话及患者微信群,随时掌握患者的情况,规范患者合理化治疗,目前管理在透患者近100人。

2. 血管通路手术、DSA下的疑难置管,上腔静脉造影+球囊扩张+置管术(静脉置管、动静脉内瘘、血液透析长期静脉导管),彩超引导下经皮静脉球囊扩张术,是血液透析病人血管通路狭窄治疗的利器,可以减少病人痛苦,最大的可能保护病人的血管。

3. 腹膜透析相关技术,包括腹膜透析置管术、经皮穿刺腹膜透析置管术、腹腔镜下腹膜透析置管术、腹腔镜下导管复位术及腹膜透析拔管术等。拟引进自动腹膜透析机,从此腹透病人可以一键腹透,还可以通过网络,腹透医生远程随诊、核对和矫正腹透方案等操作。

4.慢性肾脏病管理:肾脏疾病患者如不规律随访将快速发展至肾终末期疾病需要长期透析。科室针对常见的原发及继发性肾脏病实行医护患一体,建立完善的医护随访体系及规范化管理模式。极大提升了患者依从性及慢性肾脏病的规范化诊治,使患者既往由被动管理变为主动自我管理,从慢病管理中得到极大获益。
5. 各类血液净化治疗,包括血液透析、血液滤过、血液灌流、血液透析滤过、单纯超滤、序贯透析、无肝素透析、高通量透析等。
6. 肾穿刺活检术。
打造创新型临床研究团队
学科建设是科室发展的动力,建科以来积极为每个成员创造条件,定时进行知识更新,不断提高科室人员的专业技术水平。依托紧密型县域医共体建设,2018年与惠州市中心人民医院同质化管理及专科对接以来,医院肾内科团队诊疗能力及各项技术水平得到了全面提高,尤其在血管通路及腹膜透析相关技术开展方面得到了突飞猛进的提高。
惠州市中心人民医院中文博彩平台分院(中文博彩平台人民医院)肾内科将立足于“十四五”国家临床重点专科建设的新起点,以危重疑难肾脏疾病防治为重点,以中文博彩平台地区肾病患者为服务主体,不断加强临床服务能力和科研教学能力建设,全面提升专科区域辐射引领能力和学术影响力,打造高水平肾脏病防治中心,更好地为人民群众提供优质的医疗服务。
供稿:新媒体运营中心 李钧
一审:吴勇
二审:聂洪钰
三审:张璐
首页
医院概况
医院资讯
信息公开
专家介绍
党团建设
科研教学
就医指南
粤公网安备 44132202100104号